Kidnap scammers using AI to create fake videos, voice recordings of loved ones
Scammers are using artificial intelligence to clone the voice or videos of a loved one to trick you into paying a ransom for their release.
Scammers are using artificial intelligence to clone the voice or videos of a loved one to trick you into paying a ransom for their release.
Jeffrey Epstein-related suit: Virgin Islands says it can’t find Google co-founder Larry Page
The U.S. Virgin Islands government says it's unable to locate Google co-founder Larry Page to serve him a subpoena in an ongoing lawsuit against JPMorgan Chase for allegedly enabling Jeffrey Epstein’s sex trafficking ring, a new federal filing revealed.
The U.S. Virgin Islands government says it's unable to locate Google co-founder Larry Page to serve him a subpoena in an ongoing lawsuit against JPMorgan Chase for allegedly enabling Jeffrey Epstein’s sex trafficking ring, a new federal filing revealed.
Congress considers new rules for tech regulation of social media
Tech regulation is gathering momentum on Capitol Hill as concerns rise about China’s ownership of TikTok, and parents are more worried about what their kids are viewing online.
Tech regulation is gathering momentum on Capitol Hill as concerns rise about China’s ownership of TikTok, and parents are more worried about what their kids are viewing online.
Twitter's new blue check rules expose election offices to spoof accounts
Election administrators across the US are struggling to figure out how to respond after Elon Musk threw Twitter's verification service into disarray.
Election administrators across the US are struggling to figure out how to respond after Elon Musk threw Twitter's verification service into disarray.
Google launches no-password log in feature
The passkey feature gives users a new option over a password or two-step verification.
The passkey feature gives users a new option over a password or two-step verification.
Artificial intelligence helping detect early signs of breast cancer in some US hospitals
Some hospitals have seen a 23% increase in breast cancer diagnoses since utilizing AI technology.
Some hospitals have seen a 23% increase in breast cancer diagnoses since utilizing AI technology.
Social media app Clapper touted as an adult version of TikTok
The video platform allows users worldwide to connect and share unique content in their communities.
The video platform allows users worldwide to connect and share unique content in their communities.
AI life hacks: How travelers are using ChatGPT to plan trips on a budget
A TikToker mapped out a two-week trip to Europe with the generative AI tool, but others urge caution.
A TikToker mapped out a two-week trip to Europe with the generative AI tool, but others urge caution.
What you should know about the Chinese-based Temu shopping app
The Chinese-based company is an e-commerce app where you can find really low prices on popular products.
The Chinese-based company is an e-commerce app where you can find really low prices on popular products.
AI-powered cruise control can stop 'phantom traffic jams' before they start
Software predicts the perfect speed to keep from having to stop.
Software predicts the perfect speed to keep from having to stop.
Boat crew rescues tourists in Hawaii after car drives into harbor
A sailboat crew helped rescue two tourists after they drove their car into Honokohau Harbour, in Kailua Kona, Hawaii.
A sailboat crew helped rescue two tourists after they drove their car into Honokohau Harbour, in Kailua Kona, Hawaii.
Fed-up parents in Senate push for ban of social media for kids
A group of senators is considering legislation banning social media for children under 13 years old amid growing concerns from parents about the negative impact of social media on children's mental health and well-being.
A group of senators is considering legislation banning social media for children under 13 years old amid growing concerns from parents about the negative impact of social media on children's mental health and well-being.
Facebook failed to protect privacy of children using Messenger Kids app, FTC says
The Federal Trade Commission says Facebook misrepresented the access it provided to app developers to private user data.
The Federal Trade Commission says Facebook misrepresented the access it provided to app developers to private user data.
Some 14 million jobs won't exist globally in 5 years, report says
Here are the jobs that will be most impacted in the years ahead, according to the new report by the World Economic Forum.
Here are the jobs that will be most impacted in the years ahead, according to the new report by the World Economic Forum.
Websites for Hartsfield-Jackson, UPS possibly targeted by hackers
It appears that the websites for Hartsfield-Jackson Atlanta International Airport and UPS, which is based in Sandy Springs, were targeted early Friday morning by hackers.
It appears that the websites for Hartsfield-Jackson Atlanta International Airport and UPS, which is based in Sandy Springs, were targeted early Friday morning by hackers.
Jada Pinkett Smith says 'Red Table Talk' is looking for 'new home' after Facebook Watch cancellation
A Meta spokesperson said it will be refocusing on original content in virtual reality.
A Meta spokesperson said it will be refocusing on original content in virtual reality.
Tech sector continues to shed jobs as Dropbox lays off 500
Employees affected by the Dropbox layoffs will get 16 weeks pay as severance, plus an additional week's pay for every year of tenure.
Employees affected by the Dropbox layoffs will get 16 weeks pay as severance, plus an additional week's pay for every year of tenure.
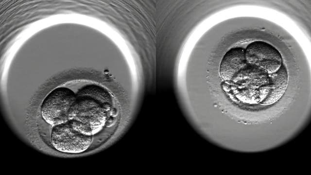
Sperm-injecting robot used to create babies in scientific breakthrough
According to the MIT report, engineers used a Sony PlayStation 5 controller to operate the robot.
According to the MIT report, engineers used a Sony PlayStation 5 controller to operate the robot.
John Legend calls for regulation on AI-generated music
A fake Drake and The Weeknd song that used AI to clone their voices was pulled from Spotify, other streaming platforms.
A fake Drake and The Weeknd song that used AI to clone their voices was pulled from Spotify, other streaming platforms.
People spent 24% more time on Instagram after launch of AI-powered Reels, Zuckerberg says
People are spending even more time on Instagram due to short-form video content they’re seeing in their feed through AI recommendations, according to Meta CEO Mark Zuckerberg.
People are spending even more time on Instagram due to short-form video content they’re seeing in their feed through AI recommendations, according to Meta CEO Mark Zuckerberg.



















