Facing tough diagnosis, Atlanta couple finds refuge in beekeeping
Brain cancer patient discovers new passion
Neill and Robin Ferrill of Atlanta have been married for 14 years, and this last one may have been the most challenging. This time last year, the couple was reeling from an unexpected diagnosis: brain cancer. This year, they're embracing a hobby together that has helped them get through it. It's beekeeping.
Atlanta - Neil and Robin Ferrill have fallen in love with their bees.
The Atlanta couple set up hives in a couple of places in their yard.
"In the afternoon, in the warm sun, we call it the bee superhighway, because they'll go in and out," Neill Ferrill says. "We'll see them getting the pollen and carrying it back."
Married 14 years, the Ferrill's say this has become their refuge during their hardest year yet.
In the spring of 2022, Neill Ferrill says, he started noticing little things.
"But, individually, they weren't that big of a deal," he says.
Writing emails, he'd forget how to spell words, and routine messages would take a long to write.
A veteran marathoner, Ferrill began to stumble and run into furniture.
One day, out on a training run, he says, part of his vision went dark.
"I noticed kind of a shadow on my eye," Ferrill remembers. "But, again, I just kind of brushed it off, thinking. 'I'm dehydrated, I pushed it too hard.'"
Robin Ferrill says Neill was also struggling with headaches.
"I look back now, and I think I should have taken him to the emergency room then, but, you know, hindsight is 20/20," she says.
The turning point came last May on a weekend trip to Americus in southwest Georgia.
"We were having a good time on that Saturday, just walking down the street, holding hands," Neill Ferrill says. "And, all of a sudden, bam! I just went face-first into a telephone pole. And, telephone poles aren't very forgiving. I mean, I hit it hard, and Robin said, 'What's going on?'"
Back home in Atlanta, as Robin began calling Neill's doctors, he called her while she was grocery shopping. He said he couldn't remember the password to his work computer.
"She said, 'Okay, I'm coming home, get in the driveway, we're going to the hospital," Neill Ferrill says.
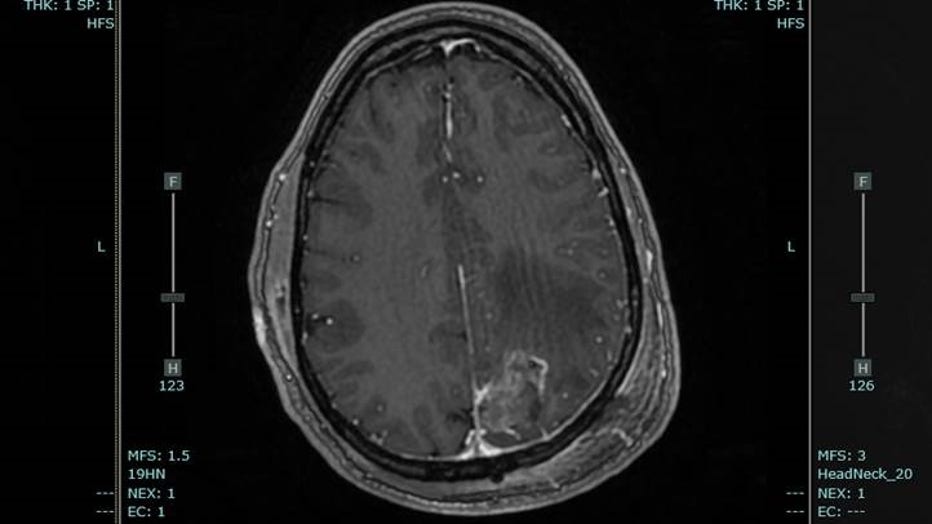
At Piedmont Atlanta Hospital, doctors found a golf ball-sized tumor in Neill's brain, a glioblastoma.
"That kind of felt like a punch in the stomach," Neill Ferrill says.
Just 3 years earlier, Neill's 83-year-old father had been diagnosed with an inoperable glioblastoma.
He died three months later.
"And I was like, 'No, no, no," Robin Ferrill says.
The next day, A surgeon removed as much of the tumor as possible, and the Ferrill's felt like they could finally breathe again.
"We were like, 'Okay, great, they removed the tumor, and it's out of my head," Neill Ferrill says. "That's when we kind of started to learn, unfortunately, this is an incurable brain cancer that you kind of have to live with and manage."
Glioblastomas are notorious for growing back.
To try to slow down any possible regrowth, Neill began six weeks of radiation and taking a nightly chemotherapy pill.
He is now part of a clinical trial comparing a handful of promising treatments for glioblastoma. His doctor, Erin Dunbar, director of neuro-oncology at Piedmont Atlanta Hospital, helped him find it.
"Clinical trials are good ideas, unproven," Dr. Dunbar says. There are no cures for glioblastoma. But, what we're doing is making incremental gains, and I call clinical trials 'evidence-based hope.'"
In Neill's case, the "hope" comes in the form of an IV infusion he gets 3 days in a row, then takes a break for two and a half weeks.
He gets MRIs every 8 weeks to track his progress.
"Thankfully, he's doing fantastic," Dr. Dunbar says. "He has thrived. He's able to still continue to work, be a father, be a husband, be a neighbor."
For now, the Ferrill's are taking things day by day, enjoying each other, their 4 grown children and children, and their bees.
"I feel great," Neill Ferrill says. "I feel really good."
His wife agrees.
"I don't know what is going on inside of him, but I love him every day more than the next," Robin Ferrill says. "I'm just so grateful to have him in my life."