Cancer cases increasing in US, but overall deaths decreasing, new research shows
Colon cancer screenings should begin at age 45, not 50
Americans should start getting screened for colon cancer earlier, at age 45 instead of waiting until they're 50.
New research shows that cancer cases are on the rise in the United States for many common cancers, despite a decline in overall deaths.
According to a new report by the American Cancer Society, the risk of dying from cancer has steadily declined, sparing about 4 million lives in the U.S. The ACS says this downward trend can be partially attributed to big wins in treatment advancements, early cancer detection and smoking cessation.
However, the health organization said that cancer incidence is on the rise for many common cancers.
"In the coming year, we’re expecting to hit a bleak milestone – the first time new cases of cancer in the US are expected to cross the 2-million mark. That’s almost 5,500 cancer diagnoses a day," the ACS wrote in their report.
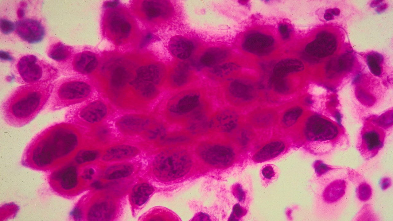
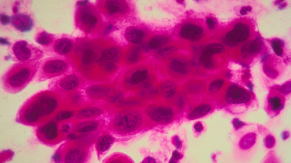
File: Close up of cancer cells in the cervix. (Credit: American Cancer Society/Getty Images)
This trend is largely affected by the aging and growth of the population and by a rise in diagnoses of six of the 10 most common cancers – breast, prostate, endometrial, pancreatic, kidney, and melanoma.
In 2024, over 611,000 deaths from cancer are projected for the US. That’s more than 1,600 deaths from cancer each day, according to the organization.
Pancreatic cancer vaccine trial results revealed
The vaccine successfully stimulated an immune response in half of the treated patients, resulting in no cancer relapse after 18 months.
The ACS said these rising diagnoses of six of the most common cancers threaten the longstanding downward trend of deaths.
This information comes on the heels of new research showing an increase in other cancer subgroups.
RELATED: Colorectal cancer is now leading cause of death among young adults with cancer: new report
This includes colorectal cancer in people younger than 55 years old, liver cancer in women, oral cancers associated with HPV and cervical cancer in women ages 30 through 44.
This story was reported from Los Angeles.